chi siamo
Sono state le scelte determinate e la caparbietà con cui si è sempre cercato di coniugare le competenze acquisite nel tempo con la rivoluzione digitale a rendere oggi Dentalstyle, dopo 43 anni di attività, l’azienda che è.
Una squadra che conta 19 professionisti dinamici e preparati, che non smette mai di frequentare corsi di formazione e aggiornamento, che cura la comunicazione tra il medico e il tecnico, che non rinuncia mai all’ambizione di migliorare costantemente la qualità dei prodotti e dei servizi erogati ai clienti.
Che si prende cura di ogni dettaglio. Perché dietro ogni singolo lavoro portato a termine, c’è una persona che può tornare a sorridere.
lavorazioni
-
Protesi mobile
Dentalstyle ha maturato un’esperienza di spessore in questo settore che CON DEDIZIONE E PAZIENZA tramanda alle nuove generazioni.
-
Protesi ortodontica
Dentalstyle realizza mascherine di contenzione, di sbiancamento o bite per la riabilitazione gnatologica, con tecniche tradizionali O con stampanti 3D di ultima generazione.
-
Protesi su impianti
Dentalstyle realizza DISPOSITIVI su impianti PARTENDO sia da un’impronta analogica CHE da un’impronta digitale.
-
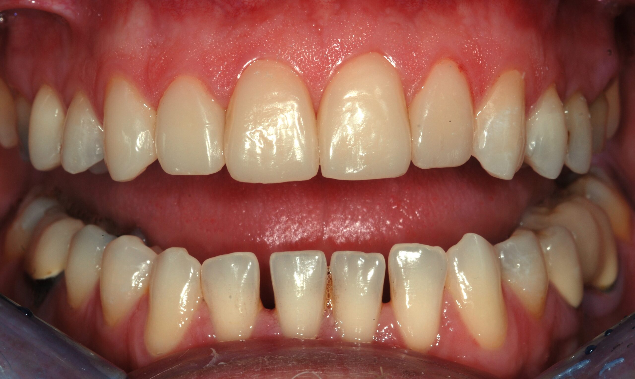
Protesi fissa
La protesi fissa è una lavorazione che eseguiamo quasi totalmente con tecnologia CAD-CAM.
-
Protesi provvisoria
La protesi provvisoria viene realizzata con tecnica full CAD-CAM. Dentalstyle per questo dispositivo utilizza Pmma (Polimetilmetacrilato) di ultima generazione con ottima resa estetica e compattezza elevata.
-
Protesi combinata
La protesi combinata è una protesi complessa e permette di riabilitare l’intera arcata dentaria, combinando una parte fissa sui pilastri residui e una parte rimovibile.
-
Chirurgia guidata
Dentalstyle è entrata nel mondo della chirurgia guidata nel 2005. Realizziamo e offriamo un servizio di consulenza specializzata in questo settore.
Qualcosa in più
Grazie alle attrezzature tecniche acquistate e all’esperienza maturata negli anni, Dentalstyle mette a disposizione, a tutti i colleghi odontotecnici, il suo know how gratuitamente .
Dentalstyle grazie alle attrezzature tecniche che ha acquistato negli anni, offre un “service” per colleghi odontotecnici mettendo a disposizione anche il suo know how.
Sono particolari fresature e particolari disegni CAD che permettono nella protesi avvitata di variare la fuoriuscita del foro vite.
Dentalstyle è leader nella lavorazione dei carichi precoci, Dentalstyle in un flusso full digital, già il giorno seguente all’intervento, consegna il provvisorio con struttura in titanio e parte estetica realizzata in resina fresata o stampata 3D.
Nel campo odontoiatrico e odontotecnico è fondamentale produrre foto di alta qualità e utilizzare tecnologie all’avanguardia. Qualsiasi lavoro viene prima studiato da un team di esperti Dentalstyle partendo appunto dalle impronte, che siano analogiche o digitali, e dalla foto. Sfruttando i programmi CAD, Dentalstyle riesce a simulare in diretta il risultato finale del sorriso del paziente.
tecnologie
Dentalstyle
Dentalstyle negli ultimi anni ha investito molto sulle nuove tecnologie, cambiando e aggiornando costantemente le varie attrezzature che si trovano all’interno del proprio laboratorio. Oltre alle attrezzature classiche come ad esempio i micromotori, le turbine, le vaporiere, le sabbiatrici, le lucidatrici e i forni dispone di:
cad cam
CAD CAM: possediamo molte postazioni CAD gestite sia con software Exo-cad che 3 shape dental desktop, licenze exoplan, 3Diemme, fresatori a 5 assi per la fresatura di qualsiasi materiale. Disponiamo di varie tipologie di fresatori quali Amann Girrbach- Motion II, Imes I250, Redon Gtr e Dyamach DT2 che ci permettono di produrre protesi di qualità.
stampa 3d
Abbiamo a disposizione molte stampanti Lcd e Dpl e dal 2024 la nuovissima Stratasys. Abbiamo deciso di investire e collaborare con Stratasys perchè ci offre una gamma unica di tecnologie e materiali additivi, unita alla profonda esperienza dei loro tecnici è in grado di superare le sfide di ogni fase del nostro ciclo produttivo.
impronta digitale
Abbiamo acquistato uno scanner intraorale con l’obiettivo di fornire alla nostra clientela un servizio di assistenza remota su come applicare i protocolli mirati. Il nostro know how, viene messo a completa disposizione di tutti i clinici che vogliono approcciarsi a queste nuove tecnologie, gratuitamente.
RILEVAZIONE DEL COLORE
Possediamo un spettrofotometro e colorimetro, attrezzature fondamentali per la corretta rilevazione del colore e la conseguente realizzazione del manufatto protesico. Ci teniamo molto all’aspetto estetico delle nostre protesi e cerchiamo ogni giorno di migliorarci per garantire al nostro cliente un risultato senza compromessi.
laser
Dentalstyle ha un’esperienza trentennale sulla saldatura a laser e, grazie alla professionalità del personale qualificato e all’attrezzatura sempre all’avanguardia, riesce a garantire un ottimo risultato alla propria clientela. Frequentiamo molti corsi di aggiornamento per non perdere mai le ultime novità del mercato. Investire in tecnologie per noi è un dovere.
FORNI SINTERIZZAZIONE
Dentalstyle dispone di una vasta gamma di forni per la sinterizzazione dello zirconio, in grado di eseguire cicli di sinterizzazione brevi, standard e a microonde. Questa varietà di tecnologie consente di ottimizzare i tempi di produzione e garantire risultati di alta qualità, adattandosi alle diverse esigenze cliniche e protesiche. La sinterizzazione avanzata assicura una perfetta cristallizzazione dello zirconio.