Nell’era dell’odontoiatria conservativa, la sfida è ottenere il massimo risultato estetico con il minimo sacrificio di tessuto dentale sano. In Dentalstyle, abbiamo perfezionato l’adozione della Flow Injection Technique, una metodica rivoluzionaria che permette di trasformare il sorriso dei pazienti in modo rapido, prevedibile e, soprattutto, additivo.
Come funziona: precisione digitale, esecuzione guidata
Molti si chiedono come sia possibile ottenere un sorriso perfetto in così poco tempo. Il segreto risiede nella pianificazione a monte tra clinico e laboratorio:
- Impronta e wax-up: il medico rileva l’impronta; noi in Dentalstyle progettiamo digitalmente la nuova forma dei denti o modelliamo con cera a seconda del caso in esame.
- La mascherina trasparente: creiamo una mascherina in silicone speciale, trasparente e rigida, che ricalca il progetto.
- Iniezione: il clinico posiziona la mascherina in bocca. Attraverso piccoli fori, inietta un composito fluido ad alta resistenza che riempie perfettamente gli spazi progettati.
- Polimerizzazione: grazie alla trasparenza del materiale, il composito viene polimerizzato con la luce fotopolimerizzatrice direttamente attraverso la mascherina.
Un risparmio di tempo incredibile per il professionista
Per il tuo studio, la Flow Injection rappresenta una svolta operativa. Rispetto alla ricostruzione manuale a “mano libera” dente per dente — che richiede ore di lavoro estenuante, modellazione complessa e un alto rischio di errore — questa tecnica riduce drasticamente i tempi alla poltrona. Meno lavoro manuale, meno stress e la certezza di replicare esattamente il progetto approvato dal paziente.
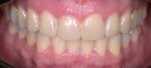
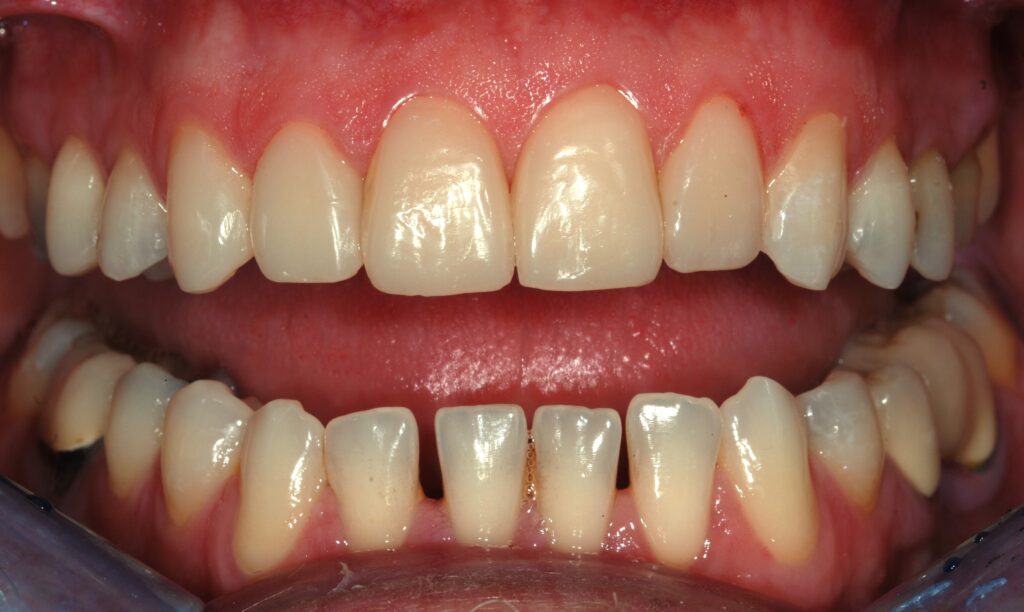
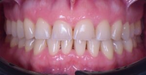
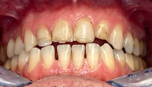
Quando il restauro diventa invisibile
La teoria trova la sua conferma definitiva nella pratica quotidiana del nostro laboratorio. Negli ultimi mesi, abbiamo documentato numerosi casi in cui la Flow Injection Technique ha risolto sfide estetiche complesse con una naturalezza sorprendente.
Il segreto della “invisibilità” dei nostri restauri risiede nella sinergia tra la progettazione digitale e la scelta dei materiali.:
- Integrazione marginale perfetta: grazie alla precisione millimetrica della nostra mascherina trasparente, la transizione tra dente naturale e restauro è impercettibile, eliminando l’antiestetico “effetto scalino”.
- Morfologia naturale: ogni dettaglio del wax-up, dalle creste marginali alle micro-tessiture superficiali, viene trasferito fedelmente in bocca.
Dalla chiusura dei diastemi al ripristino di intere arcate usurate, i casi trattati da Dentalstyle dimostrano che è possibile coniugare un approccio ultra-conservativo con un’estetica di altissimo livello. Vedere il paziente sorridere con sicurezza, sapendo che i suoi denti sani sono rimasti intatti, è la soddisfazione più grande per il clinico e per noi tecnici.
Proponi un’alternativa conservativa alle faccette in ceramica
Molti pazienti desiderano migliorare il proprio sorriso, ma sono frenati dal timore di dover affrontare una preparazione invasiva dei denti naturali. La Flow Injection Technique è lo strumento perfetto per rispondere a questa esigenza, permettendoti di offrire un trattamento:
- Totalmente non invasivo: ideale per chi rifiuta la limatura della struttura dentale sana.
- Economicamente sostenibile: un’alternativa competitiva che amplia la tua platea di pazienti interessati all’estetica.
- Ad alta efficienza: il protocollo guidato permette di finalizzare il caso in tempi ridotti, spesso in un’unica seduta clinica.
Vuoi offrire questa soluzione nel tuo studio? Se hai un paziente che cerca un compromesso ideale tra estetica e conservazione, parlane con noi. Il team di Dentalstyle ti fornirà tutto il supporto tecnico, dalla progettazione digitale alla realizzazione della mascherina di precisione, garantendoti un risultato d’eccellenza e una procedura semplificata.
Perché scegliere la flow injection con Dentalstyle?
Scegliere il nostro laboratorio significa affidarsi a specialisti che padroneggiano il workflow dall’inizio alla fine.
- Prevedibilità: sai già come sarà il tuo sorriso prima ancora di iniziare.
- Sostenibilità: materiali di alta qualità che durano nel tempo.
- Supporto Tecnico: affianchiamo il medico in ogni fase, dalla progettazione alla scelta del materiale ideale.
Offri ai tuoi pazienti l’alternativa non invasiva alle faccette.
Diventa un partner Dentalstyle e inizia a proporre restauri estetici invisibili senza limare i denti sani.

